Descuento 30% en prótesis completa, parcial. Sean acrílicas, flexibles o cromos.
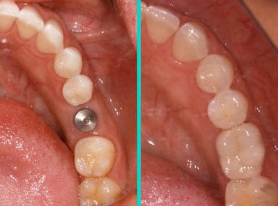
Implante y prótesis fija en general.
Y solo por julio arreglos estéticos.
CONSULTA al WhatsApp abajo
consultas y turnos:
Llene el formulario de consulta a su derecha (Se ve en versión web)
teléfonos: 1164008126 (whatsapp)
teléfonos: 1164008126 (whatsapp)






















